- Aula de Formación: Manejo multimodal de la enfermedad cardíaca en el perro
patrocinado por:
Contenidos
Haz clic en los distintos apartados para ir al contenido
WhatsVet
Módulo: ¿Entendemos la fisiopatología de la enfermedad cardíaca en el perro? Hagamos un breve repaso patrocinado por Cardalis® e Isemid® de Ceva Salud Animal
Autoría: Alexis Santana González, LV, MCs, GPCert (Cardiology), Servicio de Cardiología Intervencionista en AniCura Albea Hospital Veterinario.
Podcasts
10 audiotips: ¿Cuándo diagnostico una cardiopatía en un perro, siempre es necesario el uso de diuréticos?” patrocinado por Cardalis® e Isemid® de Ceva Salud Animal
Autoría: Alexis Santana González, LV, MCs, GPCert (Cardiology), Servicio de Cardiología Intervencionista en AniCura Albea Hospital Veterinario.
Podcasts
10 audiotips: Diferencias de eficacia y utilidad de los diferentes diuréticos, ¿qué beneficios aporta el uso de la torasemida o la espironolactona? patrocinado por Cardalis® e Isemid® de Ceva Salud Animal
Autoría: Alexis Santana González, LV, MCs, GPCert (Cardiology), Servicio de Cardiología Intervencionista en AniCura Albea Hospital Veterinario.
Cardalis® e Isemid® de Ceva Salud Animal
Manejo multimodal de la enfermedad cardíaca en el perro
Cardalis® desde los primeros signos clínicos
El uso de CARDALIS® desde los primeros signos de insuficiencia cardiaca congestiva aporta beneficios en: supervivencia y calidad de vida.
Soplos cardiacos ¿qué hay de nuevo?
Óscar Monge Utrilla repasa los fundamentos de la auscultación cardíaca. Una sesión orientada a la práctica clínica, con ejemplos de audio y consejos para no pasar por alto signos importantes durante la exploración cardíaca en perro y gato.
CARPODIEM Study
Eficacia de la torasemida oral en perros con enfermedad degenerativa de la válvula mitral e insuficiencia cardíaca congestiva de nueva aparición
Isemid®: monografía técnica
Datos científicos relativos a la insuficiencia cardíaca congestiva. Presentación de los datos farmacológicos y clínicos de Isemid®.
Qué Hacer Con (QHC)... Insuficiencia cardíaca en perros
Sigue formándote en Cardiología con Ceva Salud Animal y descárgate gratuitamente el Qué Hacer Con (QHC)… Insuficiencia cardíaca en perros de Óscar Monge
Conferencia Darcy Adin
El Santo Grial: cómo elegir el diurético adecuado y a la dosis correcta
Si necesitas un diurético necesitas Isemid®
64% de disminución del riesgo de muerte o empeoramiento de la ICC vs la furosemida
Controla tus pacientes cardiópatas con la APP CARDIOCANINA CEVA
La App cardiocanina mide la FRECUENCIA RESPIRATORIA EN REPOSO
Modelado de farmacocinética y farmacodinamia poblacional de torasemida y furosemida después de la administración oral repetida en perros sanos
La torasemida es un diurético de asa autorizado para perros para el edema pulmonar cardiogénico.
PÓSTER 3D: descubre el corazón del perro y del gato
Descubre el corazón normal y con las enfermedades más frecuentes en 3D.
"La importancia de la terapia múltiple en cardiología" - Entrevista con Pedro Esteve
Los especialistas recomiendan el uso de la Espironolactona en el tratamiento de la insuficiencia cardiaca congestiva
Algoritmo para el diagnóstico del paciente cardiaco
Criterios a valorar, diagnóstico, tratamiento y seguimiento: todo en uno
Kit para redes sociales
Aquí encontraran lo que necesitan para concienciar de sobre las patologías del corazón.
The BEnazepril Spironolactone STudy (BESST)
Eficacia clínica de la combinación de benaceprilo y espironolactona en perro con ICC debida a una patología mixomatosa de la válvula mitral.
Por fin entenderás como funciona el eje RAA (video muy chulo)
¿Cómo se produce el bloqueo completo del eje renina -angiotensina-aldosterona?
Cardio Academy. Susana Susana Serrano
¿Qué debo tener en cuenta antes de anestesiar un cardiópata?
Cardio Academy. Pedro Esteve
La radiografía de tórax y el TAC, ¿Cómo sacarles el mejor partido?
Vídeo de 2 min.: una molécula diferente que aporta más que la furosemida
El diagnóstico precoz y el tratamiento adecuado son tus mejores aliados para el manejo de las cardiopatías caninas.
Cardio Academy Javier Duque
La fisiología, diagnóstico y clasificación del eje cardio-renal a través de casos clínicos
Como detectar cardiopatías en la clínica. Jorge Prieto
Guía y consejos de la visita cardiológica
Webseminar II Susana Serrano: Ecocardiografía básica con mi ecógrafo
De la mano de Susana Serrano podrás conseguir detectar cardiopatías con tu propio ecógrafo.
Conferencia BESST Study Dr. Atkins
Eficacia de Cardalis en perros con insuficiencia cardíaca congestiva debida a enfermedad mixomatosa de la válvula mitral.
Formación WhatsApp
Microlearning vía WhatsApp
Módulo: ¿Entendemos la fisiopatología de la enfermedad cardíaca en el perro? Hagamos un breve repaso
Patrocinado por Cardalis® e Isemid® de Ceva Salud Animal
Alexis Santana González
LV, MCs, GPCert (Cardiology), Servicio de Cardiología Intervencionista en AniCura Albea Hospital Veterinario.

Módulo: ¿Entendemos la fisiopatología de la enfermedad cardíaca en el perro? Hagamos un breve repaso
Parte 1
1.1
Haz clic en la imagen para obtener una vista más ampliada
¿Cuál es la misión del corazón?
Está en el centro de nuestro paciente, nos mantiene con vida. ¿Pero entendemos cuál es su misión? Algunos dirán que es bombear sangre, pero es mucho más que eso. Nuestros pacientes, e incluso nosotros mismo estamos vivos gracias a que nuestro corazón hace una función vital en el mantenimiento de la presión arterial media (PAM). Es gracias al mantenimiento de esta dentro de unos rangos, gracias a lo cual se puede realizar el intercambio de oxígeno, CO2 y nutrientes. Y si vamos a la fórmula de PAM entenderemos algo más, ya que la PAM = Resistencias periféricas x Gasto Cardíaco.
1.2
Haz clic en la imagen para obtener una vista más ampliada
Concepto clave: gasto cardíaco
El gasto cardíaco es el volumen de sangre que el corazón bombea por minuto y depende de la frecuencia cardíaca y del volumen sistólico; su fórmula simplificada es GC= VE x FC. En cualquier problema cardíaco, mecanismos como los receptores de presión de la aorta, aparato yuxtaglomerular del riñón y otros, detectan la caída de este valor y activan unos mecanismo compensadores para mantener la presión arterial media correcta (y por ende, seguir vivos). Estos mecanismos son dos principalmente. La activación del eje Renina-Angiotensina-Aldostenora y la activación del sistema simpático. Estos dos buscan mantener la presión arterial media dentro de valores fisiológicos gracias a la retención hídrica, aumento de la frecuencia cardíaca, resistencias periféricas y contractibilidad.
1.3
Haz clic en la imagen para obtener una vista más ampliada
Ser simpático no siempre es bueno
La activación simpática aguda es útil para mantener la presión arterial, pero de forma crónica es perjudicial. Ya que aumenta el consumo miocárdico de oxígeno, aumenta la posibilidad de arritmias, promueve la fibrosis ventricular y, en general, empeora el pronóstico de la patología cardíaca. En humana existe una robusta evidencia de que en la insuficiencia cardíaca congestiva, la hiperactividad simpática se correlaciona con peor evolución y mayor mortalidad. Una de las medidas que reflejan la activación simpática es la HRV (variabilidad de la frecuencia cardíaca). En veterinaria se ha observado que en el año previo a la muerte en paciente con enfermedad mitral degenerativa existe un aumento de la frecuencia cardíaca global y un descenso de la HRV.
1.4
Haz clic en la imagen para obtener una vista más ampliada
Eje RAA un papel fundamental
El eje renina-angiotensina-aldosterona (RAA) se activa a nivel del aparato yuxtaglomerular del riñón, ante la perdida de perfusión renal, descenso del sodio y activación simpática β1. Inicialmente, es compensador, ya que aumenta la presión arterial mediante vasoconstricción, retención de sodio y agua. Sin embargo, la activación mantenida incrementa la poscarga y la volemia, favoreciendo la congestión. Además, promueve remodelado cardíaco, fibrosis miocárdica y disfunción endotelial, contribuyendo de forma clave a la progresión de la insuficiencia cardíaca congestiva.

Módulo: ¿Entendemos la fisiopatología de la enfermedad cardíaca en el perro? Hagamos un breve repaso
Parte 2
2.1
Remodelado cardíaco
Es un proceso progresivo impulsado, en gran parte, por la activación neurohormonal, especialmente del eje RAA. La angiotensina II y la aldosterona favorecen la fibrosis, la hipertrofia y la retención de volumen, perpetuando el daño miocárdico y empeorando la función cardíaca, creando un círculo vicioso que acelera la progresión de la enfermedad. Dos moléculas son claves en este proceso. La Angiotensina II y la aldosterona; ambas promueven la hipertrofia de miocitos y la activación de fibroblastos (que son las células del tejido conectivo del corazón encargadas de producir colágeno y matriz extracelular.)
La cascada del RAAS
El eje RAA se activa ante la disminución de perfusión renal, sodio tubular o gasto cardíaco. Las células yuxtaglomerulares liberan renina, que convierte el angiotensinógeno (formado a nivel hepático) en angiotensina I, y esta a su vez, es transformada en angiotensina II por la ECA. La angiotensina II induce la vasoconstricción, estimula la secreción de aldosterona y ADH (hormona antidiurética). Con todo esto, se favorece la retención de sodio y agua. Su activación crónica incrementa el volumen circulante, eleva las presiones de llenado y perpetúa la congestión, contribuyendo a la progresión de la enfermedad cardíaca.
2.2
Haz clic en la imagen para obtener una vista más ampliada
¿Qué es la insuficiencia cardíaca?
No es una entidad única, sino un síndrome clínico consecuencia de múltiples cardiopatías estructurales o funcionales. Se caracteriza por la incapacidad de mantener un gasto cardíaco adecuado y/o por el aumento de las presiones de llenado, lo que conduce a congestión retrógrada, edema y deterioro de la perfusión tisular. Los signos clínicos pueden ser variables ya que dependerán del lado del corazón afectado y los cambios fisiopatológicos que ya estén presentes (fase evolutiva).
2.3
Y todo empieza con la diástole
La diástole es la fase en la que el corazón se relaja y se llena de sangre, siendo clave para un adecuado gasto cardíaco. El aumento de la frecuencia cardíaca (inicialmente con la activación simpática), y en las presiones de llenado con la activación del RAA principalmente en segunda instancia, ocasionan el inicio de los primeros signos de congestión, especialmente a nivel pulmonar. Todo problema cardíaco tiene afectada la diástole, por lo que su evaluación es fundamental en la práctica clínica.
Los tiempos que componen la diástole son:
Tiempo de relajación isovolumétrico, llenado activo, fase de equilibrio y llenado pasivo.
2.4
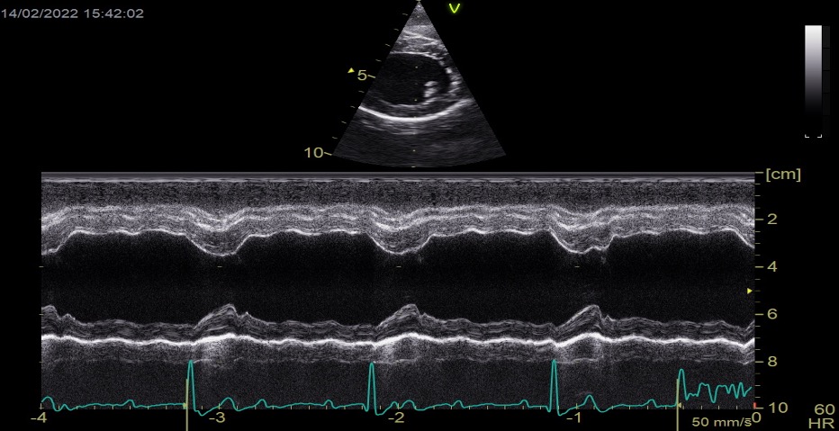
¿Y cómo la evaluamos en la clínica?
Se evalúa principalmente con ecocardiografía:
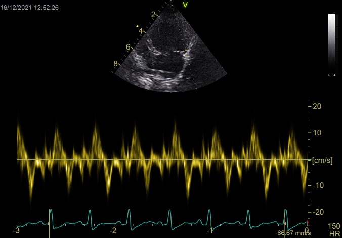
Flujo transmitral (Doppler pulsado): relación E/A, tiempo de desaceleración.
Haz clic en la imagen para obtener una vista más ampliada
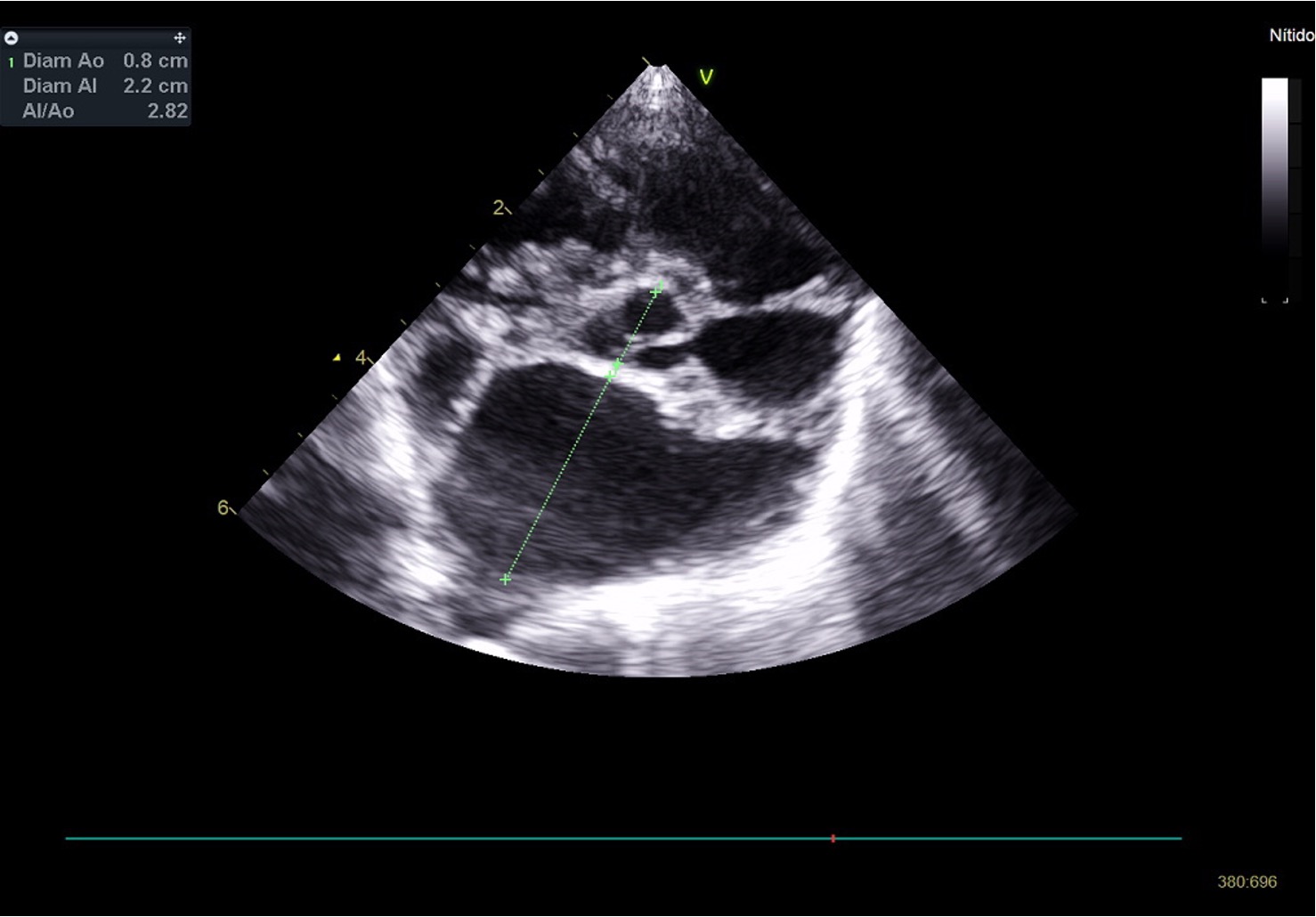
Doppler tisular (TDI): onda e’ (relajación) y E/e’ (estimación de presiones de llenado).
Aurícula izquierda (LA/Ao): refleja cronicidad de la sobrecarga.
Flujo venoso pulmonar (si es posible).
En la disfunción diastólica, el problema está en el llenado ventricular alterado debid
o a rigidez y/o alteraciones estructurales. Y su principal signo clínico es la congestión a nivel pulmonar (si el problema es izquierdo) o abdominal (ascitis) si es del lado derecho.
Haz clic en la imagen para obtener una vista más ampliada

Módulo: ¿Entendemos la fisiopatología de la enfermedad cardíaca en el perro? Hagamos un breve repaso
Parte 3
3.1
Tratamiento multimodal
El tratamiento de la insuficiencia cardíaca congestiva se basa en reducir la congestión y mejorar el gasto cardíaco. Se emplean diuréticos como furosemida o torasemida para controlar la retención de líquidos, actuando en el asa de Henle e inhibiendo la reabsorción de sodio y agua, lo que reduce la volemia y las presiones de llenado.
También se utilizan iECA, que inhiben la conversión de angiotensina I en II, disminuyendo la vasoconstricción y la secreción de aldosterona, reduciendo la poscarga, la retención hídrica y la progresión de la enfermedad.
El tratamiento de la insuficiencia cardíaca congestiva se complementa con espironolactona y pimobendán. La espironolactona es un antagonista de la aldosterona que reduce la retención de sodio y agua y limita la fibrosis miocárdica, ayudando a frenar el remodelado.
El pimobendán es un inodilatador que mejora la contractilidad y produce vasodilatación, aumentando el gasto cardiaco, reduciendo las presiones de llenado y contribuyendo a mejorar la clínica del paciente y la progresión de la enfermedad.
3.2
Haz clic en la imagen para obtener una vista más ampliada
La hipertensión pulmonar en el paciente con ICC
La hipertensión pulmonar en la ICC izquierda se produce por el aumento mantenido de la presión en la aurícula izquierda, que se transmite hacia el lecho pulmonar. Aunque inicialmente es un fenómeno pasivo (hipertensión pulmonar poscapilar), con el tiempo se provoca vasoconstricción y remodelado vascular, lo cual aumenta la resistencia pulmonar (hipertensión pulmonar precapilar). Esto afectará al lado derecho incrementando la poscarga del ventrículo derecho, favoreciendo su disfunción y empeorando el pronóstico del paciente.
3.3
Haz clic en la imagen para obtener una vista más ampliada
PDE5, óxido nítrico y sildenafil
En la hipertensión pulmonar, el óxido nítrico (NO) es clave porque induce la vasodilatación al aumentar el GMPc en el músculo vascular. La fosfodiesterasa tipo 5 (PDE5) degrada este GMPc, limitando el efecto del NO y favoreciendo vasoconstricción de las arterias y arteriolas. El sildenafil inhibe la PDE5, potenciando la vía del NO, aumentando el GMPc y produciendo vasodilatación pulmonar, reduciendo así la presión y la poscarga del ventrículo derecho.
3.4
Pimobendán y relación indirecta con NO
El pimobendán actúa como inodilatador al inhibir la fosfodiesterasa III y sensibilizar al calcio, mejorando la contractilidad y produciendo vasodilatación. Aunque no actúa directamente sobre la vía del óxido nítrico, al mejorar el gasto cardíaco y reducir las presiones de llenado ventriculares, favorece una mejor hemodinámica pulmonar. Esto disminuye la congestión venosa y la presión retrógrada sobre la circulación pulmonar, ayudando a reducir la poscarga del ventrículo derecho y a frenar la progresión de la hipertensión pulmonar en fases iniciales.

Módulo: ¿Entendemos la fisiopatología de la enfermedad cardíaca en el perro? Hagamos un breve repaso
Parte 4
4.1
Haz clic en la imagen para obtener una vista más ampliada
Hipertensión arterial I
La hipertensión arterial sistémica en pacientes con cardiopatía e ICC se desarrolla por aumento de resistencias periféricas, activación neurohormonal y disfunción endotelial (es decir, los mecanismos compensadores). Este incremento de presión eleva la poscarga, obligando al ventrículo a trabajar contra una mayor resistencia, lo que favorece hipertrofia, mayor consumo de oxígeno y progresión del remodelado ventricular. Además, dificulta la eyección, empeorando el gasto cardíaco y empeorando el deterioro hemodinámico.
4.2
Haz clic en la imagen para obtener una vista más ampliada
Hipertensión arterial II
Controlar la hipertensión es clave, ya que su persistencia mantiene elevada la poscarga y acelera la progresión de la enfermedad cardíaca. Según el consenso ACVIM, valores ≥160 mmHg aumentan el riesgo de daño en órganos diana como riñón, retina, cerebro y corazón. En pacientes con ICC, su control reduce la sobrecarga ventricular, mejora la función cardíaca y contribuye a estabilizar la evolución clínica y el pronóstico. En las fases D (acvim consensus mitral) reducir la presión arterial puede ser un mecanismo que ayude a compensar a nuestros pacientes.
4.3
Haz clic en la imagen para obtener una vista más ampliada
La resistencia al diurético, el Braking Phenomenon
El fenómeno de “braking” o frenado es una adaptación del riñón al uso continuado de diuréticos, especialmente en los de asa como la furosemida y torasemida. Al inicio, el tratamiento produce una buena eliminación de líquidos, pero con el tiempo el riñón se “defiende” aumentando la reabsorción de sodio en otras partes del túbulo. Además, aumenta la activación del eje RAA, favoreciendo la retención de agua. Como resultado, el diurético pierde eficacia progresivamente, incluso manteniendo la misma dosis, y puede
reaparecer la congestión.
4.4
Haz clic en la imagen para obtener una vista más ampliada
¿Como sospecho de resistencia? ¿Y que hago?
Se sospecha cuando persisten signos de congestión pese a aumentar la dosis de diuréticos. En estos casos, el consenso ACVIM sobre la enfermedad mitral ya determina que el paciente es un Stage D (fase final).Clínicamente hay edema, ascitis o taquipnea mantenida, junto a escasa diuresis. Analíticamente puede observarse empeoramiento de la función renal.
Para prevenirla es clave usar dosis ajustadas y reevaluar precozmente la respuesta, modulando al alza o baja los mismos. La combinación de diuréticos que actúen en distintos segmentos de la nefrona puede mejorar la eficacia.

Módulo: ¿Entendemos la fisiopatología de la enfermedad cardíaca en el perro? Hagamos un breve repaso
Parte 5
5.1
Pregunta 1
En un paciente con insuficiencia cardíaca congestiva tratado con diuréticos de asa, ¿por qué puede activarse el eje RAA?
- Por aumento del gasto cardíaco.
- Por disminución de la volemia y perfusión renal.
- Por inhibición directa de la ECA.
- Por aumento del sodio en mácula densa.
Respuesta correcta: b)
Los diuréticos de asa reducen la volemia y pueden disminuir la perfusión renal, lo que estimula la liberación de renina en el aparato yuxtaglomerular. Esto activa el eje RAA, aumentando angiotensina II y aldosterona, favoreciendo vasoconstricción y retención de sodio, como mecanismo compensador que puede limitar la eficacia del tratamiento.
5.2
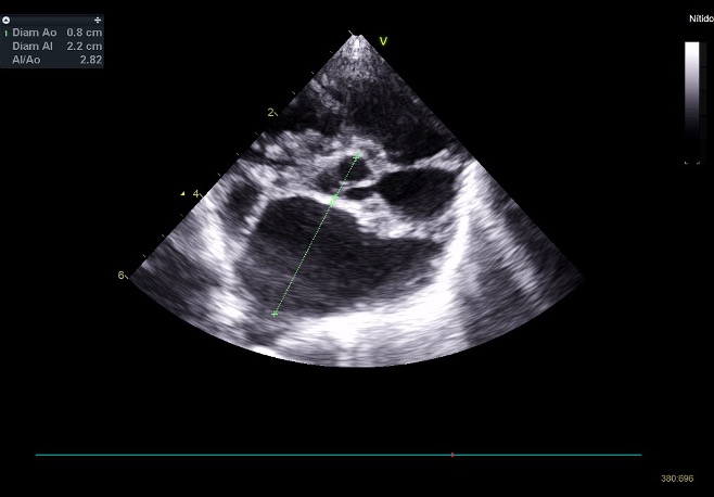
Haz clic en la imagen para obtener una vista más ampliada
Pregunta 2
En un paciente con enfermedad valvular degenerativa mitral, en estadio C con diagnóstico previo de edema pulmonar, tras el tratamiento con furosemida, su perfil de flujo transmitral previo mostraba una pseudonormalización, con una velocidad pico E de 1,1 m/s. En la revisión, este es ahora su perfil de flujo transmitral. ¿Qué está pasando? ¿Qué más podemos hacer por el paciente?
Existe una progresión de la patología hacia una disfunción diastólica restrictiva, con un aumento de la velocidad pico E hasta 1,76 m/s, lo que indica que el paciente es refractario al tratamiento. Posiblemente continúe con frecuencias respiratorias elevadas. Habría que reevaluar si existe resistencia a los diuréticos y trabajar en reducir la poscarga (presión arterial). Además, según la edad del paciente, podría ser candidato a cirugía mitral edge-to-edge (si cumple criterios anatómicos y funcionales) y, en caso de no ser idóneo, podría considerarse la septostomía auricular.
Formación Podcast
Escúchalos cuando quieras
10 Audiotips: ¿Cuándo diagnostico una cardiopatía en un perro, siempre es necesario el uso de diuréticos?
Patrocinado por Cardalis® e Isemid® de Ceva Salud Animal
Alexis Santana González
LV, MCs, GPCert (Cardiology), Servicio de Cardiología Intervencionista en AniCura Albea Hospital Veterinario.
1
Pregunta 1
2
Pregunta 2
3
Pregunta 1
4
Pregunta 2
5
Pregunta 1
6
Pregunta 2
7
Pregunta 1
8
Pregunta 2
9
Pregunta 1
10
Pregunta 2
Formación Podcast
Escúchalos cuando quieras
10 Audiotips: Diferencias de eficacia y utilidad de los diferentes diuréticos, ¿qué beneficios aporta el uso de la torasemida o la espironolactona?
Patrocinado por Cardalis® e Isemid® de Ceva Salud Animal
Alexis Santana González
LV, MCs, GPCert (Cardiology), Servicio de Cardiología Intervencionista en AniCura Albea Hospital Veterinario.
1
Pregunta 1
2
Pregunta 2
3
Pregunta 1
4
Pregunta 2
5
Pregunta 1
6
Pregunta 2
7
Pregunta 1
8
Pregunta 2
9
Pregunta 1
10
Pregunta 2
Sigue formándote con "Uso de fármacos diuréticos en la clínica diaria, cómo elegir el más adecuado en cada caso" de la mano de Isemid® de Ceva Salud Animal
WhatsVet | Los fármacos diuréticos como parte del control de la enfermedad cardíaca congestiva en el perro
Autor: Carlos González Villajos, DVM, Responsable del servicio de cardiología en AniCura Hospital Veterinario Valencia Sur, Miembro del GECAR, estancias formativas en cardiología en la UCM, Universidad de Edimburgo, Anderson Moores y Universidad de Liverpool.
Podcast | 10 Audiotips: ¿Qué cabe esperar cuando iniciamos un tratamiento con diuréticos?
Autor: Carlos González Villajos, DVM, Responsable del servicio de cardiología en AniCura Hospital Veterinario Valencia Sur, Miembro del GECAR, estancias formativas en cardiología en la UCM, Universidad de Edimburgo, Anderson Moores y Universidad de Liverpool.
WhatsVet | ¿Sabemos cómo funcionan los diuréticos y cuál es el más adecuado en cada caso?
Autor: Carlos González Villajos, DVM, Responsable del servicio de cardiología en AniCura Hospital Veterinario Valencia Sur, Miembro del GECAR, estancias formativas en cardiología en la UCM, Universidad de Edimburgo, Anderson Moores y Universidad de Liverpool.
Podcast | 10 Audiotips: Utilidad de los diuréticos como la torasemida en un marco de manejo multimodal de la enfermedad cardíaca en el perro
Autor: Carlos González Villajos, DVM, Responsable del servicio de cardiología en AniCura Hospital Veterinario Valencia Sur, Miembro del GECAR, estancias formativas en cardiología en la UCM, Universidad de Edimburgo, Anderson Moores y Universidad de Liverpool.