- WhatsVet: 4 casos clínicos cortos en los que se ha usado antibiótico, pero que presentan algún reto o peculiaridad
patrocinado por:
Contenidos
Haz clic en los distintos apartados para ir al contenido
WhatsVet
Módulo: 4 casos clínicos cortos en los que se ha usado antibiótico, pero que presentan algún reto o peculiaridad patrocinado por Ideant Veterinaria
Autoría: Eduard Hernando, GV, Dipl. ECVIM-CA, Acred. AVEPA Medicina Interna. Servicio de Medicina Interna; y Irene Casino, V, Servicio de Medicina Interna. HV Molins IVC Evidensia, Barcelona.
Ideant Veterinaria
4 casos clínicos cortos en los que se ha usado antibiótico, pero que presentan algún reto o peculiaridad
Suscripción Medicina Interna Práctica
En el mundo real no hay tiempo para complicaciones. Esta revista 100% práctica te da respuestas claras, aplicables y pensadas para ayudarte a avanzar sin añadir carga a tu día a día.
Descárgate la APP de Ideant Veterinaria
Una vez hayas comprado la suscripción, descarga la APP y accede con el usuario y contraseña utilizados en el proceso de compra.
Formación WhatsApp
Microlearning vía WhatsApp
Módulo: 4 casos clínicos cortos en los que se ha usado antibiótico, pero que presentan algún reto o peculiaridad
Patrocinado por Ideant Veterinaria
Eduard Hernando
GV, Dipl. ECVIM-CA, Acred. AVEPA Medicina Interna. Servicio de Medicina Interna.
Irene Casino
GV, Servicio de Medicina Interna. HV Molins IVC Evidensia, Barcelona.

Módulo: 4 casos clínicos cortos en los que se ha usado antibiótico, pero que presentan algún reto o peculiaridad
Caso nº 1
Caso nº 1
Husky Siberiano, hembra esterilizada de 11 años, con una historia de 4 meses de pérdida de peso, debilidad generalizada, apatía e hiporexia. En consulta se observan mucosas pálidas, fiebre (39,8 °C) y dolor abdominal.
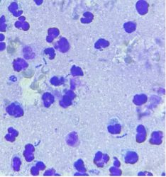
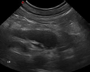
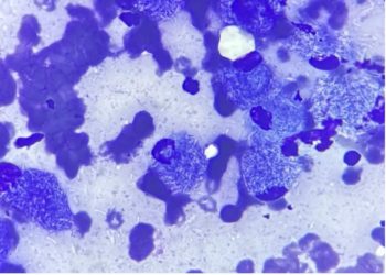
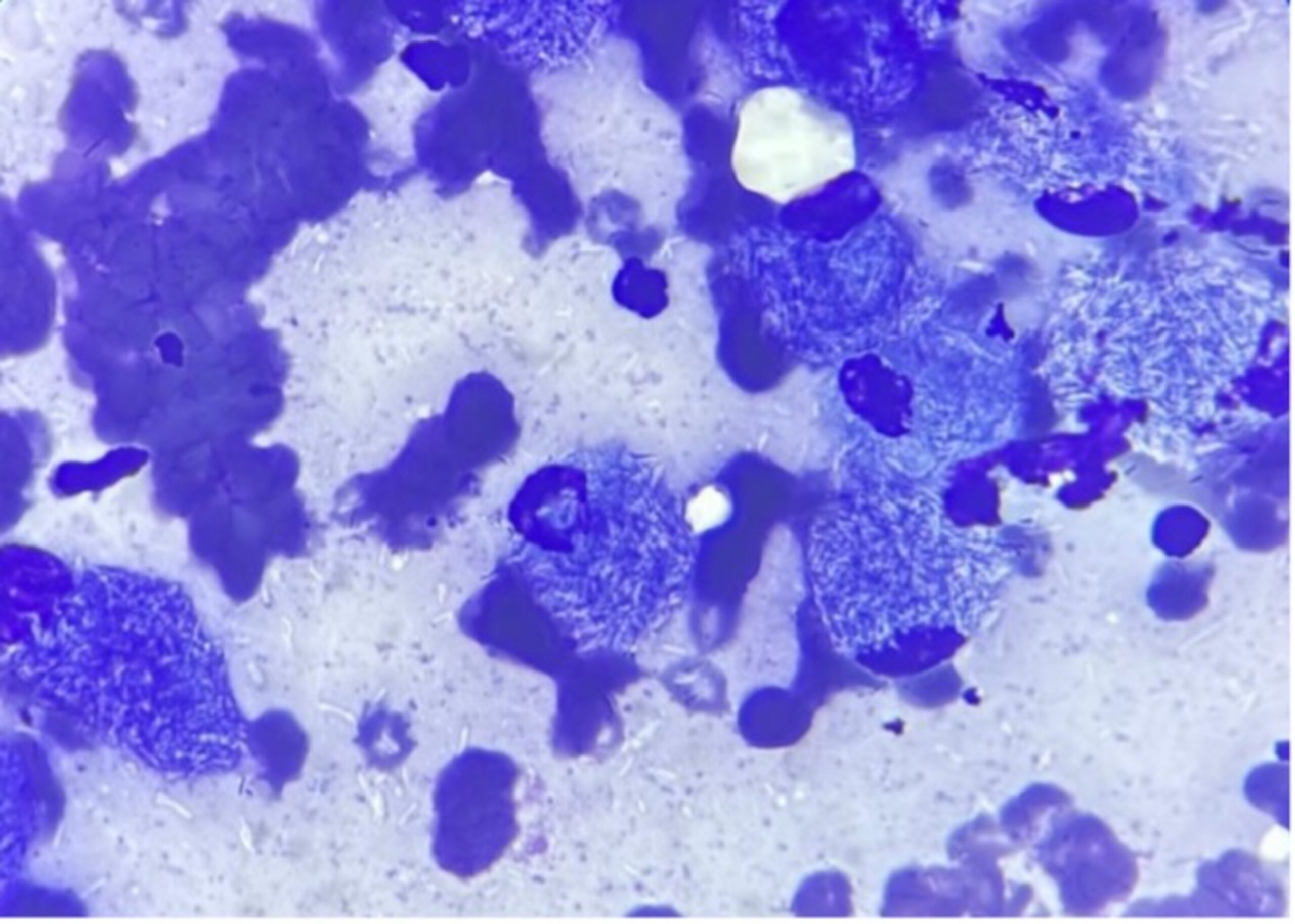
Analíticamente, destaca una anemia normocítica normocrómica no regenerativa con un hematocrito del 20 % (35 – 60 %), trombocitopenia de 43 000 plq/µL (140 000 – 520 000), leucocitosis de 22 860 leuc/µL (5 320 – 16 920), neutrofilia de 16 500 neut/µL (3 050 – 12 100) e hiperglobulinemia de 4,0 g/dL (1,6 – 3,7). En la ecografía abdominal se aprecia una marcada linfadenopatía abdominal generalizada con reacción peritoneal y esplenomegalia homogénea (Figura 1). Se realizan citologías de linfonodos mesentéricos (Figura 2).
Pregunta: ¿Cuál es el diagnóstico más probable, cómo lo confirmarías y qué tratamiento antibiótico emplearías?
La evaluación citológica de un linfonodo mesentérico revela un proceso inflamatorio granulomatoso asociado a infección por micobacterias, la cual se confirmó mediante una tinción de Ziehl-Neelsen y PCR en tejido (Mycobacterium avium). La micobacteriosis sistémica en perros se trata con combinaciones de un mínimo de tres antibióticos; los más empleados son los macrólidos (claritromicina o azitromicina), las fluoroquinolonas y la rifampicina. La terapia suele extenderse por varios meses, con riesgo de recaídas y desarrollo de resistencia a los antimicrobianos. El pronóstico es grave a reservado, ya que la respuesta clínica suele ser pobre. En muchos casos se considera la eutanasia debido a la dificultad de control y la afectación multisistémica.

Módulo: 4 casos clínicos cortos en los que se ha usado antibiótico, pero que presentan algún reto o peculiaridad
Caso nº 2
Caso nº 2
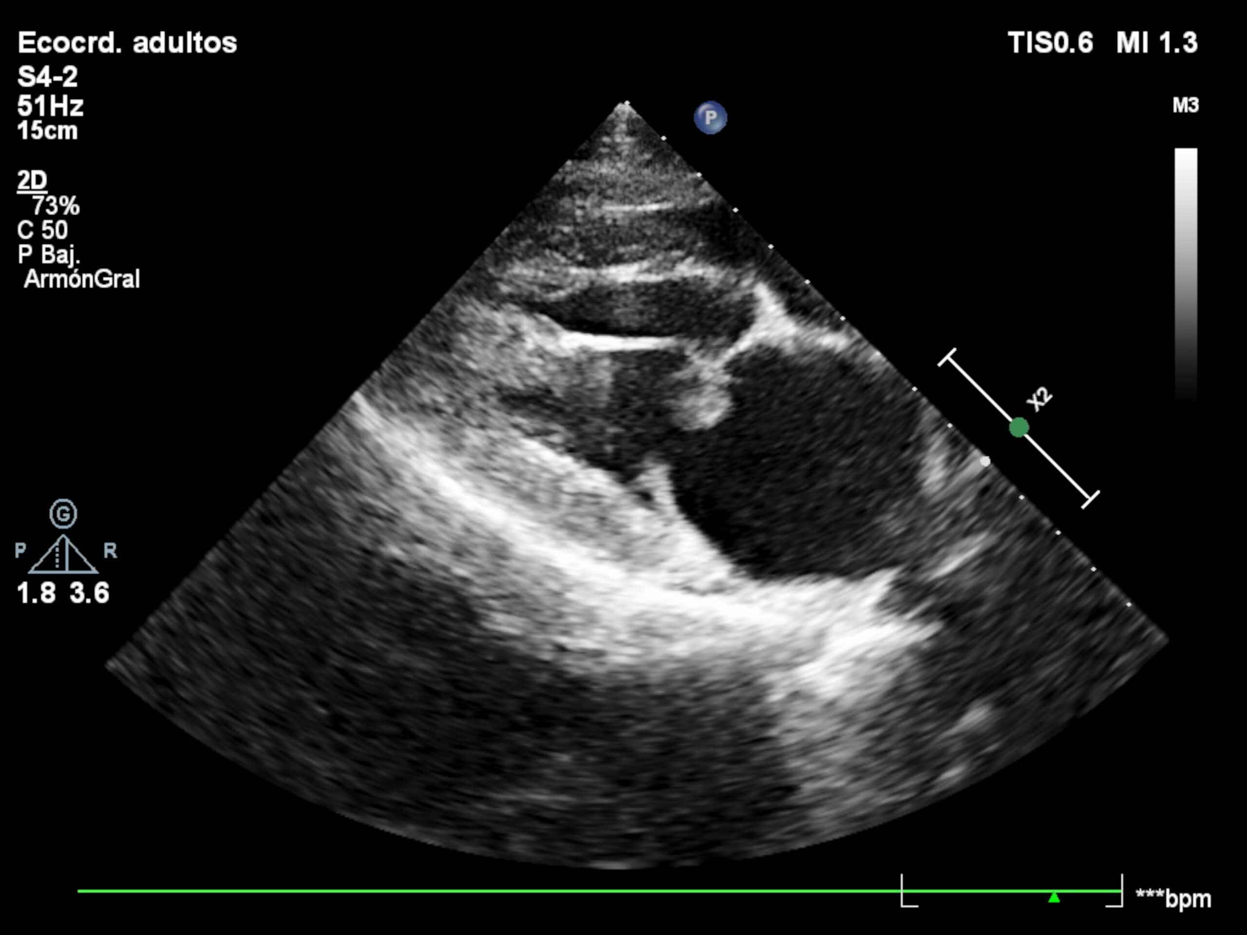
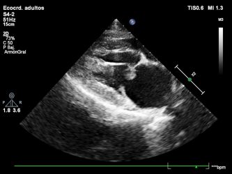
Mastín del Pirineo, macho castrado de 5 años, que acude por marcada debilidad generalizada, disuria y hematuria. En consulta se detectan mucosas congestivas, taquicardia de 180 latidos por minuto con ritmo irregular y fiebre de 40,3 °C. El electrocardiograma revela una arritmia ventricular multifocal. En el sedimento urinario se visualiza la presencia de piuria y bacteriuria con cocos intracelulares. Ante la sospecha de una urosepsis, se cursa un cultivo de orina y un hemocultivo (Tablas 1 y 2). Se realiza una ecocardiografía en la que se observa un engrosamiento marcado de la válvula mitral junto con la presencia de vegetaciones (Figura 3).
Pregunta: ¿Cuál es el diagnóstico más probable y qué tratamiento antibiótico emplearías?
El diagnóstico más probable es una endocarditis de la válvula mitral secundaria a una infección urinaria bacteriana. Las especies bacterianas más comúnmente implicadas son los Staphylococcus spp. y Streptococcus spp., como en el caso expuesto. El tratamiento antibiótico recomendado suele ser la combinación de una ampicilina (p. ej. amoxicilina-clavulánico) junto con una fluoroquinolona (p. ej. enrofloxacina) o un aminoglucósido (p. ej. amikacina). La duración del tratamiento debe ser de al menos seis semanas. Se recomienda realizar un nuevo hemocultivo entre 1 y 2 semanas después del inicio y nuevamente entre 1 y 2 semanas tras finalizar la terapia antibiótica.
Haz clic en la imagen para obtener una vista más ampliada
Tabla 1. Resultados del cultivo y antibiograma en orina.
Tabla 2. Resultados del cultivo y antibiograma en sangre.
Figura 3. Imagen ecocardiográfica donde se observa un engrosamiento marcado de la válvula mitral junto con la presencia de vegetaciones.

Módulo: 4 casos clínicos cortos en los que se ha usado antibiótico, pero que presentan algún reto o peculiaridad
Caso nº 3
Caso nº 3
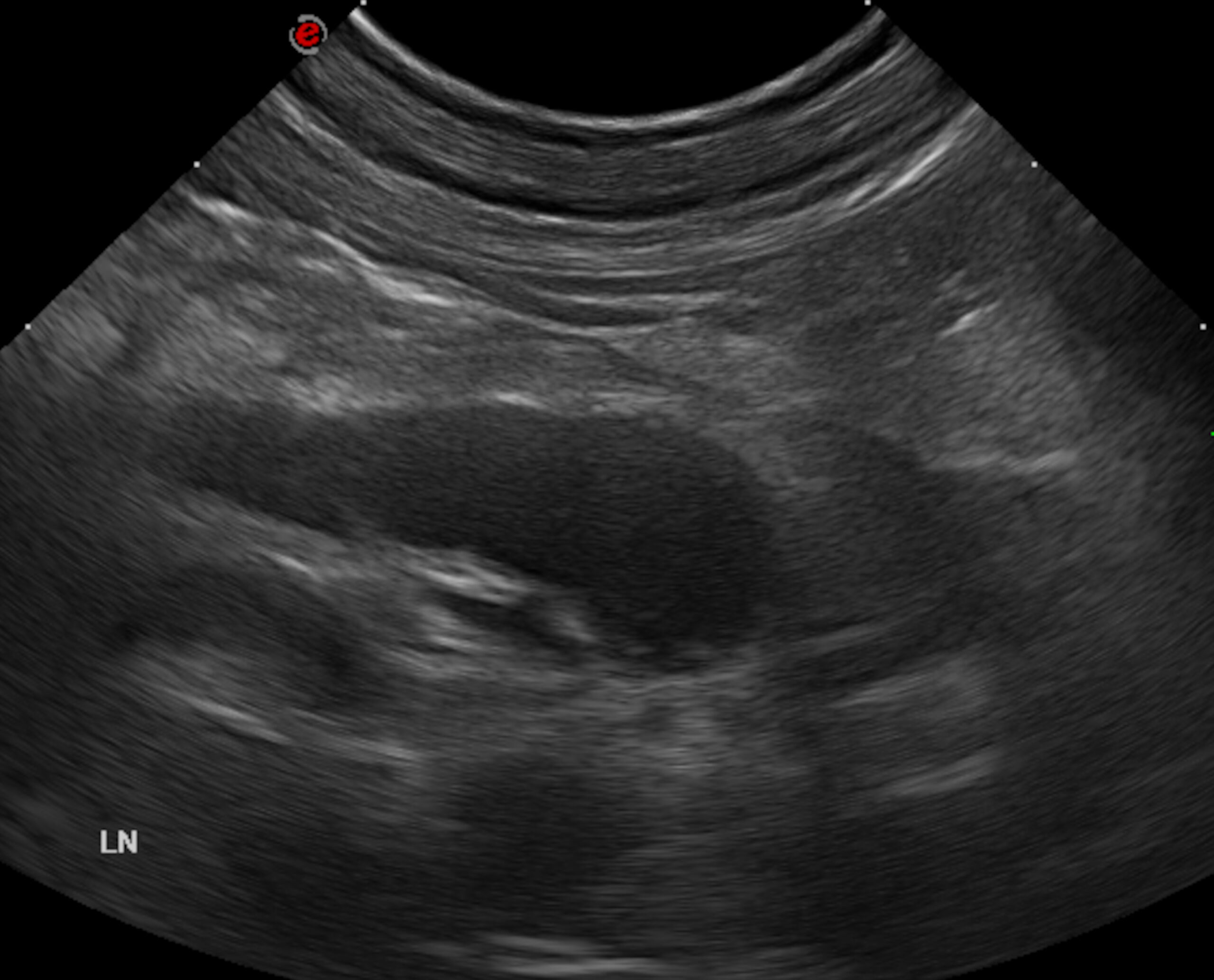
Bulldog Francés, macho entero de 8 años, que acude por diarrea crónica de intestino grueso. Presenta heces mucosas con hematoquecia y tenesmo, sin pérdida de peso asociada, de seis meses de duración. En el examen físico general y en las analíticas completas no se detectan alteraciones destacables. Se realiza un coprológico con resultado negativo. La ecografía abdominal revela un engrosamiento marcado y difuso de la pared del colon, sin pérdida de estratificación. En la colonoscopia se aprecia la mucosa del colon marcadamente engrosada e irregular (Figura 4). El estudio histopatológico finalmente es compatible con una colitis granulomatosa.
Pregunta: ¿Cuál es el agente infeccioso subyacente más probable? ¿Cómo lo confirmarías y qué tratamiento antibiótico emplearías?
El agente infeccioso más probable implicado en las colitis granulomatosas es Escherichia coli invasiva. Las razas más predispuestas son el Bulldog Francés y el Bóxer. La confirmación se realiza mediante tinción inmunohistoquímica, hibridación in situ o PCR específica en biopsias para detectar E. coli en macrófagos de la mucosa colónica. El tratamiento de elección es enrofloxacino durante 6–8 semanas, evaluando la respuesta clínica y repitiendo la colonoscopia o la biopsia si es necesario. Se recomienda realizar un cultivo de mucosa colónica, dado que se han descrito recientemente cepas resistentes a las fluoroquinolonas.

Módulo: 4 casos clínicos cortos en los que se ha usado antibiótico, pero que presentan algún reto o peculiaridad
Caso nº 4
Caso nº 4
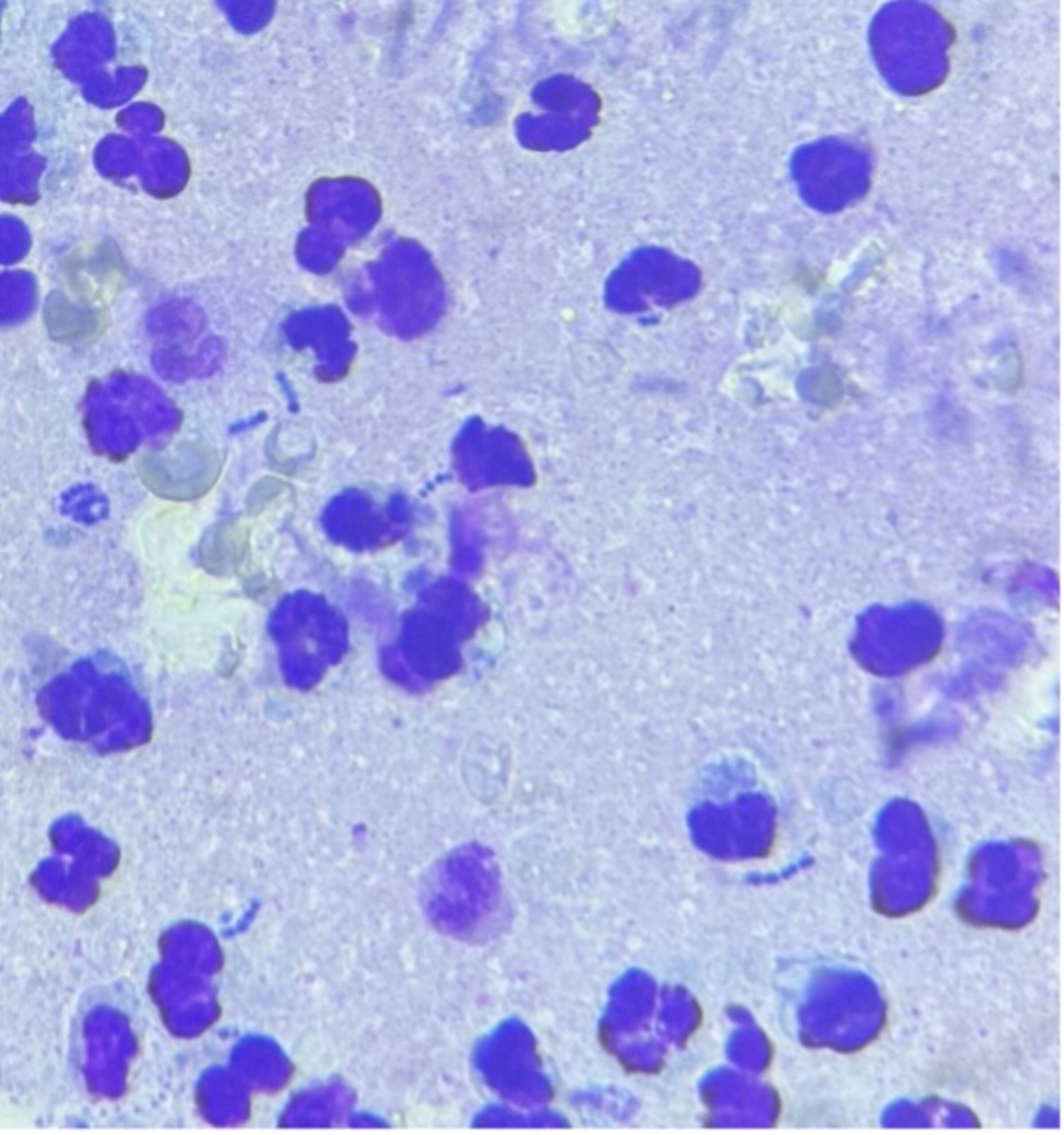
Schnauzer miniatura, macho entero de 7 años, que acude por inflamación aguda y dolor marcado en la zona cervical, pectoral y esternal de 24 horas de evolución. En la exploración física se observa tumefacción marcada, eritema, crepitación subcutánea, necrosis exudativa y presencia de vesículas serohemorrágicas (Figura 5). El tejido subcutáneo es muy doloroso y fluctuante al tacto. Presenta fiebre de 39,8 °C y taquicardia de 160 latidos por minuto. La ecografía del tejido muestra gas subcutáneo difuso y destrucción tisular compatibles con fascitis necrotizante. La citología del exudado evidencia inflamación neutrofílica con cocos intra y extracelulares (Figura 6).
Pregunta: ¿Cuál es el agente infeccioso subyacente más probable? ¿Cómo lo confirmaríais y qué tratamiento antibiótico emplearíais?
El agente infeccioso más frecuente en la fascitis necrotizante canina es Streptococcus canis, aunque puede coexistir con bacterias anaerobias o gramnegativas. El diagnóstico se confirma mediante cultivo del tejido afectado o hemocultivo. El tratamiento requiere desbridamiento quirúrgico precoz y antibioterapia intravenosa de amplio espectro (penicilina o amoxicilina-ácido clavulánico, junto con clindamicina o metronidazol). Es esencial el soporte intensivo (fluidoterapia, analgesia, control del shock). El pronóstico es grave a reservado, debido a la rápida progresión de la necrosis y la sepsis, con alta mortalidad si el diagnóstico o la cirugía se retrasan más de 12–24 horas.
Haz clic en la imagen para obtener una vista más ampliada
Figura 5. Lesiones cutáneas en el área cervical y torácica ventral compatibles con una fascitis. La piel se muestra eritematosa, edematizada y con áreas isquémicas/necróticas. Se aprecia un área ulcerada con exudado serohemorrágico en superficie.
Figura 6. Impronta citológica de la lesión cutánea exudativa. Se observa un predominio de neutrófilos degenerados con presencia de cocos en racimo a nivel intra y extracelular.
Sigue formándote con Ideant Veterinaria
WhatsVet | 4 casos breves en dermatología que necesitas saber
Autoría: Isaac Carrasco
LV, PhD, Acred. AVEPA Dermatología, GPCert- Derm, PGD Derm. Responsable del Servicio de Dermatología del Hospital Veterinari Anicura-Glòries.
WhatsVet | 4 casos clínicos sobre alopecia
Autoría: Ane Urkiola, GV, Residente del ECVD; Servicio de Dermatología. Anicura Ars Veterinaria, Barcelona.
WhatsVet | 4 casos clínicos sobre gastrointestinal, hepático y páncreas en gatos
Autoría: Alicia Bertolín, LV, GPCert (Fel), Responsable del área de Medicina Felina en AniCura Sant Antoni, Puzol, Valencia.
WhatsVet | 4 casos clínicos de enfermedad respiratoria
Autoría: Rosa Fábregas Ferrer, LV, Directora del servicio de Medicina Interna de Mallorca Veterinaris Mivet y Jorge Castro López, LV, MSc, PhD, Dipl ECVIM-CA, Acred. AVEPA Med. Interna y Med. Felina, Servicio de Medicina Interna, Mallorca Veterinaris Mivet.